隐球菌感染的猫咪
目录
显示
- 1. 隐球菌病 —— 它是什么?
- 2. 隐球菌病 —— 它是什么样的?
- 3. 隐球菌病 —— 如何诊断?
- 4. 隐球菌病 —— 如何治疗?
- 4.1. 感染持续时间和程度
- 4.2. 隐球菌菌株类型
- 4.3. 治疗药物如下:
隐球菌病 —— 它是什么?
隐球菌属物种遍布世界各地。这种真菌可以在环境中存活数年。两种物种——新型隐球菌和格氏隐球菌——最常导致猫患病。到目前为止,我们还不知道确切的感染方式。许多人认为猫最初是吸入这些生物。这种感染不会在动物之间传播。有趣的是,鸽子似乎在环境中传播真菌生物方面发挥了作用,因为感染通常与它们的粪便有关。
隐球菌病 —— 它是什么样的?
对于猫来说,鼻子是感染的主要部位。因此,受感染的猫经常打喷嚏并流鼻涕。鼻涕可能是粘液状,其中可能含有血液。猫的口腔或鼻梁上可能会出现肿块和 / 或溃疡病变。可能出现的其他临床症状包括:
1、昏睡
2、食欲下降(或丧失)
3、行为变化
4、共济失调(行走不协调)
5、视力丧失
6、跛足
一只患有鼻腔隐球菌病的猫。请注意前额的异常“凸起”,这表示鼻腔内有感染。
患有鼻窦隐球菌病的猫鼻梁皮下肿胀
隐球菌病 —— 如何诊断?
在详细了解病史并进行全面体检后,兽医会对疑似患有隐球菌病的猫进行一些非侵入性血液和尿液检测。这些检测包括全血细胞计数、血清生化特征、尿液分析和隐球菌抗原(真菌成分)
可能需要进行其他测试,包括:
1、胸部 X 光检查 | X 射线
2、鼻分泌物显微镜检查
鼻镜检查——使用特殊的光纤摄像机检查鼻腔内部,并获取样本
3、支气管镜检查——类似鼻镜检查,但涉及检查下呼吸道
4、先进的脑成像(CT 扫描或 MRI)可检查脑部是否受累
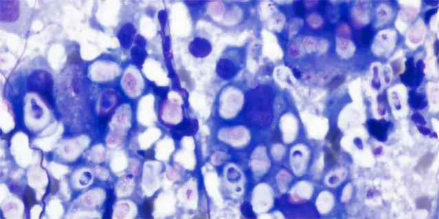
从猫面部皮肤肿块的细针抽吸物中发现隐球酵母。请注意狭窄的芽殖酵母和大而透明的荚膜。
电子显微镜下的隐球菌外观
隐球菌病 —— 如何治疗?
早期积极治疗隐球菌病可最大程度地提高治疗成功率。值得庆幸的是,许多抗真菌药物可有效对抗这种感染。一些患者(例如鼻腔内有大量感染组织的患者)可从初始手术中去除感染组织中获益。多种因素似乎会影响患者对抗真菌治疗的反应,包括:
感染持续时间和程度
存在并发疾病(例如:猫免疫缺陷病毒 | FIV)
隐球菌菌株类型
感染部位——例如,眼睛和中枢神经系统受累的预后更为谨慎
家庭负担能力和持续使用抗真菌药物的能力
有效治疗隐球菌病所需的时间各不相同。有些可以在约 1 个月内清除感染,但通常治疗时间为 6-18 个月。
治疗药物如下:
轻度
首选 氟康唑 20 mg/kg/ 天 6-12 个月 6-12 个月
轻度至中度
第二选择
伊曲康唑 10 mg/kg/ 天(猫胶囊)
伊曲康唑 4-7 mg/kg/ 天(猫溶液) 6-12 个月
重症
两性霉素 B 0.5-1.0 mg/kg(猫)静脉注射,每周 3 次。
氟康唑(如上所述)6-12 个月
抢救性治疗
泊沙康唑 8-10 mg/kg/ 天(猫)
伏立康唑 12.5 mg(总剂量)q 72 小时(猫) >6 个月

图片是经手术切除治疗的患猫照片前后对比图
结论:
隐球菌病是猫中常见的真菌感染。临床症状通常与鼻腔有关,但大脑和眼睛也可能受到影响。早期诊断并使用适当的抗真菌药物治疗对于确保猫的康复至关重要。据报道猫的存活率为 45~76%,中枢神经系统受累是负面的预后指标,中枢神经系统受到影响的猫咪死于感染的可能性是正常猫咪的 4 倍。

