目录
 显示    
- 1. 引言
-  2. 病例内容
- 2.1. 基础信息
-  2.2. 病史 & 院内检查结果
- 2.2.1. 2023 年 3 月份检查结果
- 2.2.2. 2023 年 4 月份检查结果
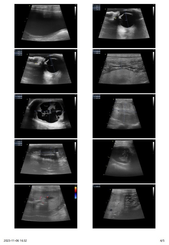
- 2.2.3. 2023 年 10 月份检查结果
 
- 2.3. 手术照片
 
-  3. 病理诊断
- 3.1. 大体及取材照片
- 3.2. 镜下描述
- 3.3. 病理诊断结果
 
- 4. 讨论
引言
犬睾丸肿瘤是发生在犬身上的一种疾病,相较于其他家畜,犬类尤其是某些品种如拳獅犬、吉娃娃犬、波美拉尼亚犬和贵妇犬较为易发,但多见于老年犬。
睾丸肿瘤的临床表现主要是睾丸的肿块,这个肿块可能会逐渐变大,质地变硬,但通常不会引起疼痛。由于肿瘤可能会分泌雌激素,所以公犬可能会出现雌性化的行为表现,如包皮下垂、吸引别的公犬等。
犬睾丸肿瘤主要分为性索间质瘤(Sex Cord Stromal Tumors)和生殖细胞肿瘤(Germ Cell Tumors),进一步细分为支持细胞瘤(Sertoli Cell Tumors)、间质细胞瘤(Interstitial Cell Tumors)与精原细胞瘤(Seminoma)。
本病例为睾丸间质细胞瘤的报道。
病例内容
基础信息
皮皮:
西伯利亚雪橇犬(哈士奇、雪橇三傻)
8 岁(换算人年龄约 50 岁左右)
雄性,未绝育
22.60kg
体况评分,Bcs(Body Condition Scoring):4/9,偏瘦
CRT(毛细血管再充盈时间):1-2s
CKD(慢性肾病):二期
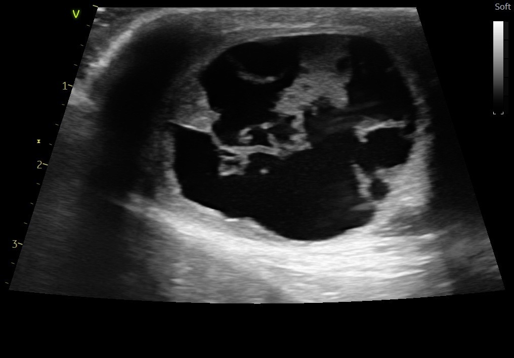
主诉最近发现两只睾丸的大小相差较大,精神状态尚可,挑食。于近日入院进行病变部位的超声检查,结果如图:
 该图为肿大的左侧睾丸
  该图为肿大的左侧睾丸   
病史 & 院内检查结果
2023 年 3 月份检查结果








 
  
2023 年 4 月份检查结果


 
  
2023 年 10 月份检查结果








 
  
手术照片

 
   
术后两个睾丸组织用福尔马林固定后交由元医实验室进行组织病理学检查。
病理诊断
大体及取材照片
送检组织为睾丸及附属组织 2 块。均眼观灰红,体积为:6.5*5.4*4.2cm;5.2*3.8*3.5cm。组织质地中,剖面灰红及黑红。横断面剖开共得组织 4 块,分 4 组进行包埋。

 
   
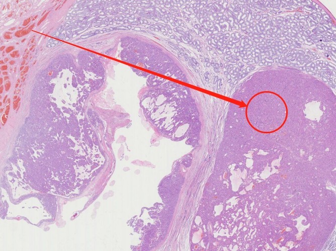
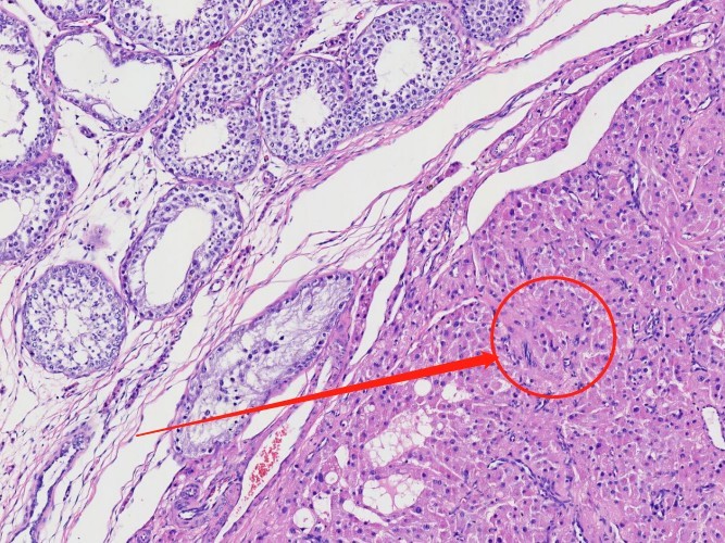
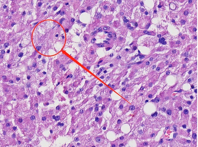
镜下描述
送检样本为睾丸组织 2 块,镜下可见:两个睾丸组织均有同样的病理表现。肿瘤细胞位于肿物的中部,呈片状及不规则腺泡样存在。这些细胞具有深染的较小的胞核,偶见核仁,细胞核的异型性较小。细胞质呈嗜酸性,量较大,部分胞质有明显的脂质的聚集。整体细胞异型性小,在平均 10 个高倍镜视野下未见有丝分裂相。毛细血管多增生,部分区域严重淤血。


 
   
病理诊断结果
睾丸间质细胞瘤 (Leydig Cell Tumor) ,完全切除。
肿物切面:黄棕色,质软,切面隆起。它们通常含有出血和 / 或囊肿。这些表现跟临床超声的怀疑囊性的结果一致。
对于犬睾丸间质细胞瘤来说,去势后可治愈。
讨论
对于当前病例,完全的切除是最常见的治疗手段,且因睾丸的特殊结构,手术比较容易切除干净。
对于犬猫隐睾或睾丸肿瘤的治疗建议:
因为体内的环境、温度都容易反复的导致肿瘤病变,而高龄且在当前宠物生活环境中,很少会真正的随着激素水平与季节而进行交配,这会导致频繁的舔舐、感染、肿瘤化的机会也因此增加。因此,病理医生的建议与临床医生一致:尽早的进行绝育。

